Protocol by Dr Ellie Phillips

Here we can discuss Dr. Ellie Phillips’ protocol. I’ve already been following it for the second year. Of course, I don’t use it rigorously twice a day, but even so, thanks to it the rate of degradation of my teeth has basically stopped. As a reminder, below is my original 2024 post from the old site about the protocol:

Can a tooth repair itself?

Most people are convinced (no one knows why) that once a tooth is damaged, injured, starts to hurt or a cavity appears, that’s it – it has to be drilled, filled, and if that doesn’t help, killed (root canal treatment), or pulled and replaced with an implant. I thought so for a very long time too, until I experienced for myself that it’s different. A tooth is alive and, just like a broken bone, under the right conditions it can regenerate and rebuild when you don’t interfere with it (and when you help it).

Already 6 years ago I proved on myself that RA (rheumatoid arthritis) is linked to problems and bacteria in the oral cavity, so I dug into the topic of why our teeth decay: the answer is simple and at the same time not simple: mainly because of sugar, but also because of an excess of phytic acid in the diet, which blocks the absorption of minerals needed for tooth regeneration and is ubiquitous, e.g. in all grains and nuts. Acidic pH also promotes the growth of bacteria that destroy teeth, such as Streptococcus mutans or Porphyromonas gingivalis. Therefore, in order not to have new health problems, it has long been known that it is enough not to eat sugar, grains and processed junk that cause acidic pH in our mouths.*

Simple? Simple! Practical? Not practical…

Hardly anyone in the civilized world can refrain from eating grains, grain products and processed (i.e. subjected to any thermal or chemical processing) food for a longer period. I myself, since I am fully healthy, nothing hurts and nothing ails me, because I cured myself naturally of rheumatoid arthritis, which I suffered from for many years – stopped stubbornly following the “Eat what wants to be eaten” diet, which I describe in the book “How I Cured the Incurable”, because it is a strictly therapeutic diet – for the time of illness, until the body recovers, extinguishes inflammation, regenerates and becomes healthy. This takes some time (counted in months), but once you are healthy, in my opinion you can rotate your diet in cycles, like changing seasons, and experiment with food, keeping in the back of your mind that “you are what you eat and… what your food ate”, but at the same time “everything is for people”.

Maintaining healthy teeth is therefore almost a miracle these days, because at some point most of us will snack on sugar, grains or processed food. And processed food is… junk food. And here comes a ray of hope in the form of Dr. Ellie Phillips, who claims she has discovered a repeatable way to heal teeth and be free from the dentist almost regardless of diet.

I watched all the videos on Dr. Ellie Phillips’ channel. I agree with 99% of what she says. I basically found only one mistake that she repeats and that can be pointed out, but more on that later.

As much as I am a fan of natural treatment methods, they are good when you eat natural food. When you eat artificial food, or you already have a burden of cavities and fillings, there is no chance to heal your teeth in everyday life without some support. And that support comes from Dr. Ellie in the form of her “Complete Mouth Care System”. I recommend watching this video as the most exhaustive on the subject:

In short, she recommends using specific products in a specific order:

I. Use xylitol after every meal. Ideally, use xylitol INSTEAD of sugar in food, because she discovered and confirmed in studies that xylitol destroys deposits, restores tooth shine and has only positive effects. An average person will not distinguish the taste of xylitol from sugar. Sorbitol, on the other hand, is harmful to teeth. Other sweeteners are too, because they cause acidic pH in the mouth.

II. Use specific oral cleaning procedures at bedtime and once during the day. The entire procedure has 7 steps and all of them are important to perform in this order:

  1. Rinse your mouth with “Closys Ultra Sensitive” before brushing. Use half of what the manufacturer recommends. Use it ONLY for one minute. This is an agent that destroys bad bacteria and penetrates into cavities in the teeth. The main active substances here are stabilized chlorine dioxide and trisodium phosphate. Additionally, it comes with a peppermint essential oil, which you add to the solution as you wish. Chlorine dioxide and mint have a destructive effect on bad bacteria and reset the pH in your mouth so that the toothpaste in the next step works more effectively.

  2. Use a springy, dense toothbrush with good bristles.

  3. Toothpaste – only and exclusively the proven “Crest Cavity”. Others do not remineralize teeth as they should. This one has been tested over 50 years of use by Dr. Ellie on herself and her children and grandchildren. The main active ingredient doing the job here is sodium fluoride at a concentration of exactly 0.243%.

  4. Start brushing by… massaging the gums from the inner side of the teeth. At the level of the bottom of the root, i.e. as low as possible. Where it hurts you the most. If you intend to floss your teeth, do it right after brushing, leaving the toothpaste on your teeth. Dr. Ellie is not a fan of flossing and suggests flossing only if food is stuck between your teeth and you can’t get it out otherwise.

  5. Before use, wait 24 hours for the toothbrush to dry. That is, use 2 different toothbrushes for each time of day to be sure you are using a dry one. Keep them apart so that bacteria do not spread.

  6. Rinse your mouth with “Listerine Cool Mint” or “Listerine Original”. The original is a bit stronger. Rinse as long as you can, even if only for a second. Listerine is associated with chemicals, but in this edition the main active ingredients are: eucalyptol (0.092%), menthol (0.042%), methyl salicylate (0.060%) and thymol (0.064%), the main inactive ingredients are water and alcohol.

  7. Rinse with “Act Zero Alcohol Anti-Cavity” mouthwash in the Mint version. Buy such an Act that contains exactly 0.05% sodium fluoride. It’s best to rinse for a minute.

And yes, these rinses and the toothpaste have a lot of junk additives like dyes and other chemicals. Unfortunately. But Dr. Ellie tried others and did not find better substitutes. Moreover, these rinses create a catalyzing and strengthening effect on each other, so replacing even one of these elements has disastrous consequences.

DO NOT USE ANY OF THESE PRODUCTS ON THEIR OWN. ESPECIALLY MOUTHWASHES, BECAUSE YOU CAN HARM YOURSELF. THE EFFECT OF SYNERGY IS ACHIEVED HERE IN THE RIGHT ORDER AND THE INGREDIENTS OF THESE PRODUCTS INTERACT WITH EACH OTHER.

III. Use the procedure from point II preferably at bedtime and after breakfast.

And yes, both the toothpaste and the mouthwash contain that ominous element “FLUORINE”, but… it is in the form of “sodium fluoride”, which is not as harmful as fluorine in other forms, e.g. occurring in nature in India in tea, and after rinsing with Listerine, which leaves a slightly acidic reaction in the mouth, it brings a synergistic effect and strengthening of the teeth. She uses it herself, as do her children and grandchildren, so any concerns about its harmfulness at such low doses can rather be considered minimal. YOU ARE NOT SUPPOSED TO SWALLOW IT, IT IS ONLY TO WORK LOCALLY – and then it is not toxic.

Each product has been analyzed by her in terms of composition and do not use any substitutes if you do not know what you are doing and how the respective chemical compositions cross‑react with each other. Dr. Ellie does not earn money from promoting or selling these products.

IV. Another important thing according to Dr. Ellie is not to snack and sip all the time during the day

You should compress eating and drinking into appropriate eating windows. The point is that saliva begins to have the ideal content of minerals and nutrients for rebuilding and remineralizing teeth about 1 hour after the last bite and… sip of water. If we drink all the time, we wash away the saliva and its minerals, so the teeth do not rebuild. Ideally, for example, during work it is best not to eat or drink anything, and drink tea and coffee (yes, the doctor has such white teeth and she drinks coffee!) before and after work, not during it.

As I write these words, I’m sitting and… sipping jasmine tea, so this point is definitely the hardest. But my teeth are currently my priority, I want to get rid of all the fillings and rebuild their tissue, so after Easter 2024 I intend to start the procedure and techniques developed by the Doctor.

I have already bought all the ingredients, e.g. rinses in the USA + shipping to Poland, when they arrive, I’ll start :slight_smile:

I personally came across the Doctor by clicking on this clickbait on YouTube, because receding gums are closely related to RA and should be repaired before you effectively cure this “incurable” disease. Previously I thought a dentist was needed for this:

The doctor describes that after proper gum massage and using her method and specific rinses and toothpastes – the gums will start to grow back on their own.

My commentary on all of Dr. Ellie Phillips’ videos. Just one “but”:

  1. I agree that you definitely need to cut out sugar if you want to heal your teeth.

  2. I agree that acidic pH destroys teeth and alkaline is better. My experience is that alkaline pH alone will not contribute to tooth regeneration. I did not get rid of my tartar despite having an alkaline oral pH of 8.0 for the last 2 years.

  3. And now the “BUT”: I do not agree with Dr. Ellie Phillips that citrus fruits harm teeth, because there is no sensible evidence or scientific research for this. This is a myth repeated by dentists based on a study performed on DEAD teeth, where a dead tooth was kept in grapefruit juice for 20 weeks and it was observed that a DEAD TOOTH, WITHOUT SALIVA, KEPT FOR 20 WEEKS WITHOUT A BREAK DISSOLVES; live teeth in the mouth were not tested… Do I need to add how a dead tooth in a glass of juice differs from a live one in the mouth? I provided sources of research on this topic and refuting the harmfulness of grapefruits on teeth in my book. You can personally test that when you touch, for example, an orange with litmus paper, it has an acidic pH below 5.0, whereas after putting the orange in your mouth, chewing it and testing the pH of your saliva – it immediately becomes ALKALINE above 8. Both the orange and vitamin C itself cause ALKALINE reactions in our body, which you can check yourself, you don’t need to rely on any authority or YouTuber. Since according to the Doctor alkaline pH is good for teeth, how can citrus fruits harm them? This is the biggest logical error and inconsistency I found in all of Dr. Ellie Phillips’ videos, so apart from that I recommend you watch them yourself, because I stand by what she promotes.

  4. I don’t know about the harmfulness of using clove oil – I have used it a few times in recent years and so far my teeth are alive. However, Dr. Ellie says that after using clove oil, even after 7 years a tooth can die. That doesn’t sound good and it’s better to replace this oil with another.

  5. I have personally found that fruit is the healthiest product you can eat. It does not require any processing, it wants to be eaten, nothing more, nothing less. What about the sugar in fruit? It is broken down by enzymes present in fresh, living fruit, so it is not as dangerous as is mindlessly repeated. This is confirmed by the fact that fresh fruit has a low glycemic index. Additionally, fruit has several (or maybe several dozen – we don’t fully know, because the level of complexity of fruit exceeds the analytical capabilities we have!) thousand other substances that occur in it and interact, creating LIFE – the most complex process in the world. Fruit alone, however, will not whiten teeth or remove existing tartar. They are neutral for teeth. Cooked fruit or pasteurized juice – that’s worse. Then in fact only sugar remains without enzymes and that is like sugar water. Nothing healthy.

Summary:

  1. Dr. Ellie Phillips’ method seems logical and reasonable and in a week (when all the above‑mentioned rinses arrive) I will start testing it on myself. Over my lifetime, even before I paid attention to what I eat, I got too many fillings that keep falling out, generating visits to dentists and draining my wallet, so I’ve had enough. I don’t know if you know, but the lifespan of the best filling (excluding amalgam ones for obvious reasons) is only 6 years… After this period, even a super filling crumbles and food gets under it through tiny gaps. Before you realize it, degradation and destruction of the tooth from underneath begins. I have suffered through this too many times. I’ve had enough.
  2. I took a panoramic X‑ray and a bit later a CT scan of my oral cavity, so the observed progress after an appropriate time will be very accurately measurable

  1. I will definitely not give up fruit in my diet. I will try to give up sugar for 1–2 years… Especially since it is easy to replace it with xylitol if you prepare food yourself. Will it work for me? I will do my best to make it work. To get rid of fillings and save my teeth – I think it’s worth it.

EDIT: today is 03/04/2023 and after a week since I started using an incomplete procedure (without Closys) I have my first observations:

  1. My gums have become more pink and nicer.
  2. After the 6th day, my teeth really did become smoother and more shiny than I ever remember in my life. There was no such effect for the first 3–5 days.
  3. Listerine Original burns the mouth to the point of pain (the main ingredients there are 26.7% alcohol, menthol, eucalyptus and thymol), but after 7 days it only burns at the tip of the tongue. IMPORTANT! I was making a mistake and rinsing my mouth with water after brushing my teeth, but the point is to rinse immediately only with Listerine. Then the burning effect is also smaller and I think it works better.
  4. For the first few days I used the red Act version, i.e. with cinnamon, and it is definitely less tasty and I think it doesn’t fit the whole process. Only later did the mint – green version reach me and it is tastier and I suffer less after it.
  5. I ate several teaspoons of xylitol a day. I did not manage to get the “cleansing” effect that some people are afraid of.
  6. I’m suffering, because – there is one quite big “BUT” to this method. After all, there are no perfect methods:
  7. These mouthwashes are packed with chemicals, dyes (which are not allowed in Europe) and they clearly get into the body through damaged gums/teeth, because every morning I wake up with some pain, as if RA had returned. Places that have never hurt me before, like the back of my neck, hurt and this pain lasts 1–2 days. I understand that this is an adaptation stage and it may be because bacteria are dying, etc., but it seriously exhausts me, so I will probably not continue using this if the problem does not go away.
  8. Teeth that are damaged and more diseased will hurt during this treatment, especially at night for the first few days.
  9. You have to completely cut out sugar and all sweets (except those with xylitol), which was not easy at Easter :wink: But I managed.

So what if I am allergic / sensitive to xylitol or other ingredients in the mouthwashes / toothpaste from the above Dr. Ellie Phillips procedure?

All is not lost! :slight_smile:

As it turns out, there are still other ways, using mixtures of essential oils and coconut oil, which you can prepare at home according to the instructions given below.

For example, this program is a certain alternative that I will write about in a separate post, a very interesting video, worth recommending, about how a man repaired his 6 cavities in 3 months without a dentist using a natural diet and methods. During this time, he ate a lot of vegetables and fruit, and even raisins.

As it turns out, I will have to correct the first chapter of my book “How I Cured the INCURABLE”, because I wrote there that it is best to go and repair receding gums and cavities to an experienced dentist. Meanwhile, you learn all your life and we must once again bow to our bodies – they can heal and repair even teeth, only in this case you have to help them with supplementation and diet. A healthy diet alone is not enough, see the video above.

So to repair your teeth, follow the advice of Dr. Ellie Phillips or Gabriel Arruda (the author of the video above), and preferably combine this advice into one complete protocol.

The best you can take from these two different processes I have described in more detail here: https://jakwyleczylem.pl/disease/bol-zeba-cofajace-sie-dziasla/polaczony-protokol:-kompletny-system-pielegnacji-jamy-ustnej-dr-ellie-philips-+-naturalne-techniki-wg-gabe’a-arruda

Here are 15 signs that may indicate an improvement in tooth health:

Reduced pain – If a tooth starts to hurt less or the discomfort completely disappears, this may be a sign of regeneration and reduced inflammation.

Reduced sensitivity – A less intense reaction of the teeth to hot, cold, sweet or sour products indicates an improvement in the condition of the enamel and dentin.

No new cavities – If no new cavities appear over a longer period of time, this may indicate stabilization of oral health and improved mineralization.

Whiter teeth – Natural whitening of teeth without the use of chemical agents may indicate an improvement in enamel health and maintenance of proper pH in the mouth.

Smooth enamel surface – Reduced roughness or stains on the enamel suggests that remineralization is starting to take effect.

Less plaque and tartar – If plaque and tartar appear less frequently or in smaller amounts, this may be evidence of improved overall oral hygiene and an appropriate pH level.

Healthier gums – The disappearance of bleeding, swelling or redness of the gums is a sign that inflammation is decreasing and the oral microflora is returning to balance.

Reduced amount of dental plaque – Slower accumulation of dental plaque means better cleaning of the teeth and a beneficial change in the oral environment.

Improved taste in the mouth – The absence of a metallic taste or other unpleasant sensations may indicate stabilization of the bacterial flora in the mouth.

Reduced bad breath – Better breath is a sign that the bacteria causing caries and other dental problems are in retreat.

Increased resistance to staining – If teeth become less prone to staining from coffee, tea or other coloring products, this is a sign of stronger enamel.

No cracks and chips – A reduction in the number of cracks or chips on the teeth may indicate that the enamel is becoming more resistant and regenerated.

Healthier gum color – A light pink color of the gums is a sign of good blood supply and lack of inflammation.

Reduced visibility of demineralization spots – If white, matte spots on the enamel begin to disappear, this may indicate remineralization of the teeth.

Longer periods between dental visits – Less frequent problems requiring a dentist’s intervention may indicate an improvement in overall tooth health and the effectiveness of the care methods used.

Continuation: Combined protocol with Dr. Ellie Phillips’ Complete Mouth Care System + natural techniques by Gabriel Arruda

To recap, here are the two most important videos you absolutely must watch if you want to heal your teeth at home on your own:

  1. https://www.youtube.com/watch?v=tXZbmz6kBUU - Dr Ellie Philips Complete Mouthcare System. IT SOUNDS RIDICULOUS, BUT IT REALLY WORKS, I CONFIRM IT ON MYSELF! It mainly focuses on eliminating the bacteria that create cavities. It’s diet-agnostic, only suggesting the elimination of fully processed sugar and not snacking or sipping anything between meals.
  2. https://www.youtube.com/watch?v=XrpNrJoH4wI - Gabriel Arruda, natural techniques, here you’ll find good advice on how to strengthen teeth with diet, but also how to get rid of bacteria without “chemicals”; details below. With these practices you can save your teeth much faster, in as little as 3 months, but it’s less durable and more time‑consuming (you have to make vegetable juices, coconut mixtures, etc.)

So why write this post if the two one‑hour videos above exhaust the topic?

They don’t – they don’t address the issue of deeper cavities. They also contradict each other a bit. More on that in a moment.

First, the origin of my problem:

It turned out I have a tooth “for root canal treatment”. I even have a recording from the analysis of the CT scan of my jaw, which I did BEFORE STARTING THE PROTOCOL, where the sad diagnosis is given: “we won’t save your tooth”, here it is:

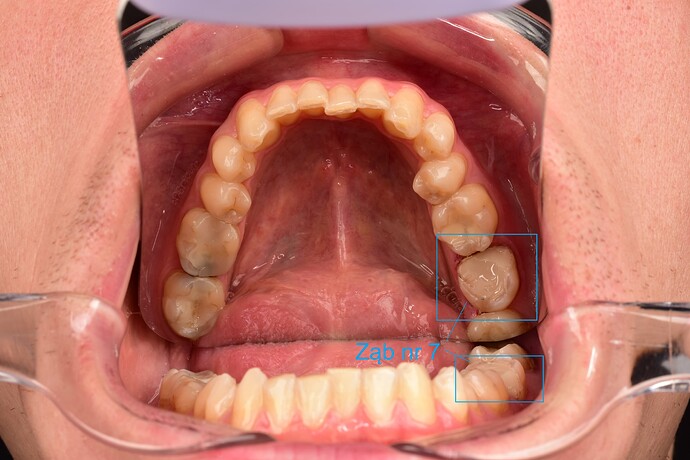
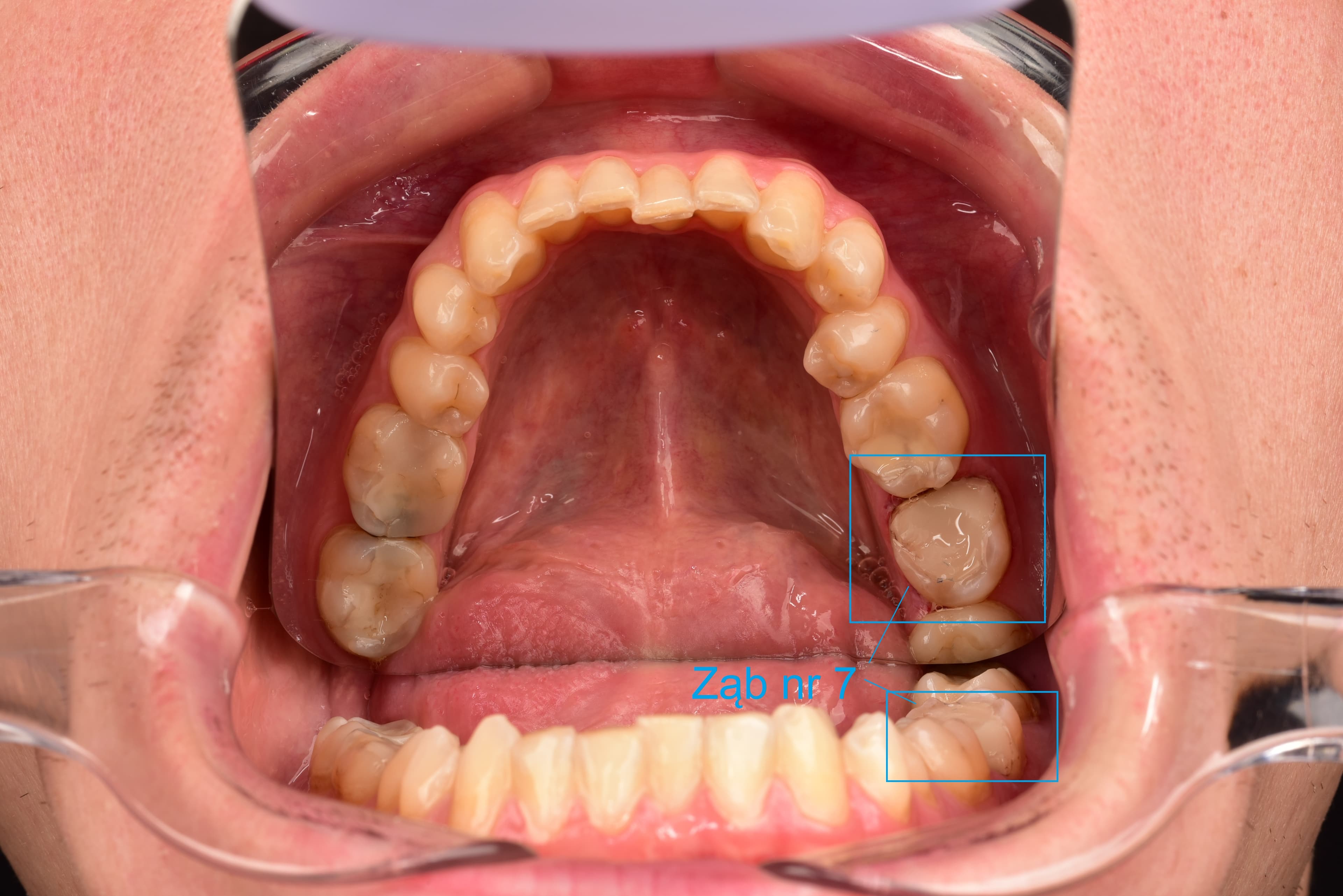
Tooth no. 7 decayed in the place where… an old filling fell out. So exactly what I hate happened, and what I warned about in the book on how I cured my RA. Unfortunately, fillings have a lifespan of 6 years, that’s it. After that, micro‑cracks appear, through which bacteria creep underneath, destroying the tooth. According to current dental practice, the old filling should then be removed and a new one installed. In this process, of course, the tooth is drilled out more, making it weaker and more prone to decay. Every tooth has a physical limit which, once exceeded and the pulp is reached, that’s it – you need a root canal (i.e. kill the tooth and hope it never fails) or extract it and put in a denture/implant.

In my case it wasn’t visible in the mirror, nor did it hurt. I went to the dentist only to check what sometimes hurt when I bit something hard on the left side. Quick diagnosis: a filling had crumbled, and then when she started drilling it turned out she was about to drill into the root and start a root canal… And there was no time for that, because we had scheduled a diagnostic exam. So I asked to close the tooth and they didn’t even put in any medicine, although I’ll probably change that. Tooth no. 6 next to it doesn’t look great either… That’s the one whose photo you can see on the page: ból zęba, cofające się dziąsła : Jakwyleczylem.pl

And now WARNING: graphic photo, because after drilling tooth no. 7 looks like this:

Fixing such a “hole” with home techniques will be difficult, especially since it reaches the pulp. But I’ve already seen more than one incurable disease cured – time for teeth: challenge accepted!

How is it possible that such a cavity formed in someone who eats healthy and fruit‑based all the time?

It’s possible because since I cured my RA, you can catch me eating sweets, cookies and even home‑baked breads. Especially when there are occasions like birthdays, name days and holidays. And after such holidays, in the following days you have to finish all the food, because food must not be wasted… And when you finally finish eating, “one more day won’t hurt” to extend the sweets streak, and then another, and another… And so on until the next holiday.

I realized that over the last year I had been constantly snacking on something, because I had regenerated and rebuilt myself so well that now “nothing will happen to me”, and if anything does, “I’ll cure myself with fasting”.

It turns out, however, that fasting without additional support will not work on teeth. Moreover – even on the healthiest possible diet – teeth decay, because as a result of intensive monoculture agriculture, the soil simply lacks the trace elements necessary for tooth regeneration – see again this video: https://www.youtube.com/watch?v=XrpNrJoH4wI. An exception may be the carnivore diet, where there are no carbohydrates or sugars at all, but that’s another topic, because this diet is extremely difficult, monotonous and in the long term also destructive for most of the population (see the topic of scurvy in sailors, etc.). Without fruit you won’t live healthily for long. A vast topic for another post.

Next time think twice before you support a farmers’ strike by people who each have several hundred hectares of land, complaining that the EU forces them to use fewer pesticides in their million‑euro combines. And yes, crop rotation, the use of natural fertilizers and fallowing the land mean that the soil regains some trace elements, which then enter our food according to the food chain and, as a result, into our teeth, enabling their regeneration. But no large‑scale producer cares about this, because no one will see it in the product, which is a vegetable, with the naked eye. It only slows down production in the here and now. The future in many years doesn’t matter, let our children worry…

But back to my teeth:

I assume that if small cavities heal on their own – why can’t larger ones heal? I once had a broken collarbone in two places and they amputated the middle part of the bone, inserting a wire inside. The bone regenerated, reconnected as a whole, growing around the wire, and then the wire was removed. So my entire collarbone fused, and supposedly a small fragment of a tooth can’t regenerate? Why? In the States there are already therapies using stem cells to regenerate teeth. So maybe I’ll try to persuade my own cells to do this?

My tooth had been worked on a long time ago, it had a large filling, so something else in it must have been damaged.

The same tooth as above, after sealing with a regular temporary filling, looks inconspicuous like this (from above there is a steel mirror inserted to take the photo, which is why both rows visible in the photos below are the lower row of teeth):

You don’t need X‑ray vision to see that on the other side I have visible decay in teeth 6 and 7, and the 6 next to that destroyed 7 also needs treatment. And to be sure – this is confirmed by the CT scan recorded above:

So I have serious cavities to heal – and that’s only in the lower jaw. The upper one is similar. In total, the dentist counted 11 cavities to be treated + 1 for root canal. She confirmed them on the CT scan above (the CT was done after filling tooth no. 7). The estimated cost of fixing everything is thousands of zlotys. You have to start with hygiene for the “mere” 500 PLN, each cavity is easily several hundred PLN and it has to be broken down into quadrants (jaw quarters) that will be repaired in one visit. A root canal costs around 2400–2700 PLN depending on the number of canals, etc. Implant? I’m waiting for a quote. Along the way, a lot more will surely come up and it may turn out that more teeth need root canals. On top of that, the lifespan of new fillings is also only 5–6 years, so in fact, listening to the doctor, I would have to go to the dentist every quarter and leave serious money there.

So what protocol will I use to heal all these cavities – at the same time?

I intend to do a one‑time professional oral hygiene treatment, as my dentist recommended. I’ve never had it in my life, so I’ll survive. But before that happens (waiting time for an appointment – 2 weeks):

First I’ll take what’s best from Dr Ellie, namely:

  1. In the evening and at noon after breakfast, I’ll use her oral care procedure with exactly the rinses she indicates. Closys has a separate peppermint essential oil in the package for those who want flavor; I added it to the bottle because plain Closys tastes like pool chlorine. With this oil added it’s actually tasty. Importantly, mint is bactericidal specifically for the bacteria that cause plaque, so it fits the procedure.
  2. Before any meal – a teaspoon of pure xylitol so that the starved bacteria gorge on it and die. As Dr Ellie suggests – also after every meal or drink. I would buy Dr Ellie’s candies, but they’re not available at the moment.
  3. I won’t eat or drink anything between meals. If I do eat, because if my tooth hurts I don’t intend to eat or drink anything, I’ll just stay on a dry fast until the pain subsides.
  4. Dr Ellie is an omnivore with an emphasis on “whole food based, mainly plants”, i.e. eating a plant‑based diet based mainly on whole plants, but she won’t turn down organic meat, cheese or milk straight from the cow, preferably home‑produced. Maybe because of this I’ll incorporate some meat/dairy into my diet while healing my teeth, I’ll think about it, because I don’t really have access to such high‑quality products. Here’s a very wise quote from her book:

Tooth damage depends on the length of time that the mouth is acidic. This is why nibbling a small sugary or acidic snack over time will create more damage than consuming a larger quantity in one sitting, or ideally as a component part of a meal. This explains why sipping—especially acidic juices, coffee, tea, sports drinks, or smoothies—can be so harmful.
Instead, try to consume these foods and drinks as part of a meal, and at the conclusion, end with xylitol, a tooth-protective food, alkaline water, or milk

Dr Ellie Philips

So: if you’re going to eat something unhealthy – don’t nibble, just do it once and properly!

To this I’ll add what’s best from Gabriel Arruda’s video:

  1. I’m starting to supplement vitamin D3 + K2 MK7. He suggests a minimum of 7000 daily and 10,000 for larger cavities. I’ve now started taking 250,000 (two hundred and fifty thousand) units every other day. I’ve tested such doses before. They work great for me. I have serious cavities and need to increase the power. If I eat, I’ll take it during a meal.
  2. I bought a juicer (although I’m a fan of eating whole fruits, not parts of them) so I can make juices from vegetables, celery, kale, etc. I’ll use it 4–5 times a day. Normally I don’t eat that many vegetables, so this will definitely be an extra supplement to my diet.
  3. Vegetable juices and vitamin D3 are Gabriel Arruda’s most important observations. But just in case, I created an oil pulling mixture based on his book. I used organic coconut oil (about 200 ml), heated it and added 2 drops each of essential oils: coriander, cinnamon, mint and cedar. It tastes DELICIOUS! You just want to swallow it ;D
    1. Yes, I wrote in my book “How I Cured the Incurable” that you can do oil pulling with water and get the same effect – that came from this video: Oil Pulling Tested for Plaque and Teeth Whitening HOWEVER, if Gabriel, using only coconut oil and his homemade rinse (whose main ingredient is purified water and essential oils), achieved a therapeutic effect and healed 5 cavities in 3 months, while citing scientific studies on this – then I have to revise my view on oil pulling with coconut oil. IT IS, HOWEVER, TEMPORARY. In the long term, oil pulling also destroys good bacteria (more on that later), so when you stop using it, your teeth will start decaying again. And the point is for them to be harder and more difficult to colonize by bad bacteria.

Discrepancies between Dr Ellie Philips and Gabriel:

  1. The problem with oil pulling is that, according to Dr Ellie Philips, it can also destroy the “biofilm” of good bacteria (Is Oil Pulling Safe? - DrEllie.com). Especially if you also use the wrong essential oils. However, at the stage I’m at, I think I need to temporarily bring out the heavy artillery. Besides, “Listerine original” also consists mainly of alcohol, thymol oil, mint and eucalyptus, so the right oils are a good path. I intend to use all weapons, and later, when my teeth regenerate, stick with Dr Ellie’s method. I don’t know, though, if I’ll tolerate the rinses she suggests, because they contain quite a few substances I react badly to.
  2. Dr Ellie claims that improperly used essential oils (wrong proportions) are dangerous and, for example, clove oil damages nerves, even with a 7‑year delay.
  3. Gabriel suggests using a tongue scraper. In my opinion, scraping the tongue brings no benefits. I tried – not even a millimeter of film comes off my tongue after it’s been treated with Dr Ellie’s process. The tongue is simply perfectly clean then.
  4. Dr Ellie claims that every sugar is harmful, including that from fruit. And here’s the biggest clash. This is contradicted by Gabriel’s practical example, where he ate fruit, homemade fruit juices, raisins and grapes while repairing his teeth. Sugar is not all the same. The sugar in fruit is kept in check by the enzymes they contain, which break down the sugar, digesting it into its components. Therefore, in my opinion, fruit is safe. On the other hand, it’s hard to ignore the mass of testimonies from people on the carnivore diet, who report that their teeth improved. I think the key to success here is sticking to minimally processed food without additives, and that’s what I’ll do.
  5. Dr Ellie claims that cheese improves the tooth regeneration process. Dr Greger claims that studies on this document the opposite. Therefore I’ll skip adding cheese to my diet, because when it comes to food, “less is more”.
  6. Gabriel was on a 100% vegan diet. I, however, intend, for the purpose of rebuilding my teeth, to occasionally go keto, not necessarily in a vegan version. I’ll test in weekly periods whether cutting out fruit and eating only meat is better for the teeth. This is due to my desire to test Dr Ellie’s hypothesis, which is challenged in the point above.
  7. Baking soda – Gabriel Arruda uses a rinse that contains it, and Dr Ellie Philips is against it. Here I’ll side with Dr Philips, because baking soda simply destroys all bacteria, and

THE KEY TO SUCCESS ACCORDING TO DR ELLIE PHILIPS IS DESTROYING BAD AND DEVELOPING GOOD BACTERIA IN THE MOUTH. Simply destroying all bacteria will cause very rapid regrowth of harmful, cavity‑causing bacteria as soon as we stop religiously cleaning the mouth.

Common theses of Dr Ellie Philips and Gabriel Arruda:

  1. A large amount of vegetables in the diet improves tooth regeneration.
  2. Using “whole plant based foods” improves overall health and teeth.
  3. Essential oils effectively kill bacteria in the mouth.
  4. Sugar is the main food for bad bacteria like Streptococcus mutans, but not only.
  5. You have to be careful how you combine foods and you can achieve an effect of enhanced absorption of the right minerals. A vast topic.

What will NOT be in my tooth‑healing diet?

  1. Sugar, sweets, my own baked goods. Farewell, florentines.
  2. Breads, including my own rye sourdough bread.
  3. Grains, nuts, beans, seeds – everything that contains phytic acid, which blocks the absorption of minerals needed for tooth regeneration. I know they’re delicious and I like them a lot. My teeth, as you can see, less so. Theoretically, you can reduce the effect of phytic acid by soaking nuts overnight or adding vitamin C to the meal. But eating nuts sour isn’t that tasty. Soaked ones also don’t taste as addictive as dry and crunchy. Don’t believe that eliminating phytic acid helps? Watch this video: https://www.youtube.com/watch?v=YcZVtyi9EU0
  4. Dates and honey. Sad :frowning: Once my teeth are healed, I’ll definitely go back to them.

My diet will therefore consist of the following elements:

  1. Freshly pressed vegetable and greens juices at home – beets, celery (dropped – more on that later), lettuces, parsley, nettles, whatever is available. Ideally, start on an empty stomach with vegetable juice.
  2. Fresh unprocessed fruit – that will be at least one meal a day.
  3. Unprocessed meat? (without added sugar, glucose, nitrites, nitrates, benzoates, etc.). Although it’s not certain I’ll eat it, because it’s hard to get. Supermarket meat is out, supermarkets only have chemically loaded and unknown quality. Besides, when I eat meat, I later have issues, fevers, I emit a bad smell and I don’t like that. I’m tempted to experiment with the carnivore diet, but it’s a terribly boring and disgusting prospect. Still, the goal of cutting out as many sugars as possible for as long as possible is constantly in the back of my mind.
  4. Organic eggs – I’ll consider them; if I feel like it, I’ll eat them. Right now I don’t. Egg white has an anti‑absorption effect for many minerals (after all, it’s used as a home antidote for swallowing harsh chemicals), and I want to maximize absorption.
  5. Xylitol before and after every meal. Before, so that the starved bacteria pounce on it (instead of the sugars supplied in the meal) and die, and after to maintain good pH and conditions for beneficial bacteria later.
  6. Black or green tea with coconut milk once a day and xylitol – I know tea causes deposits on teeth, oh well. It’s something to soothe the nerves.
  7. Homemade beet kvass – for strengthening. It’s still fermenting, production time is 7 days, so it’ll be ready on Wednesday 10.04.2024.
  8. Lots of other ferments – sauerkraut, pickled cucumbers, pickled beets.
  9. I’ll eat and drink in time blocks, with minimum 2‑hour intervals, i.e. once and properly, not sipping/snacking all day long.
  10. DESSERTS: Freshly pressed fruit juices at home (from fruits I don’t normally eat, to increase the variety of minerals, as Gabriel suggests). Drunk in large amounts at once, finished with xylitol.

I’ll report the results here.

EDIT 05.04.2024

THE FIRST 10 days since diagnosis:

Hygiene treatment still not done – I’m waiting for an appointment, which will only be in 4 days. Easter holidays have passed. I didn’t eat anything sweet during them. I didn’t refuse Easter ham and eggs. My body is still cleansing from them.

First week:

I started with just Dr Ellie Philips’ method. Already after day 7 on this protocol I can see effects:

  • My teeth are much smoother and more pleasant for the tongue, they shine like never before, but there’s no rose without thorns…
  • I don’t sleep very well, because these rinses are probably toxic for me. After all, I’m a person who doesn’t use any chemicals, drugs, supplements, or even bath gels/shampoos on myself. I only wash my hands after the toilet. I was also a bit sloppy with oral hygiene, because nothing hurt. Now the jokes are over.
  • Where I had the root canal diagnosis, it hurts so much (and not even in the place of the drilled tooth) that for two days I could hardly open my mouth and I did a 24‑hour dry fast. I also wake up with various strange pains all over my body. But I’m not giving up on the self‑healing approach. NO PAIN NO GAIN. Either it’s coming from the infected tooth, or from the bacteria being killed. We’ll see.
  • I also can’t eat on the left side. However, I’m not giving up, I know the beginnings are the hardest. I cut sugar to zero. Grains and nuts too, although that took me 5 days.
  • At the beginning, Listerine hurt in my whole mouth to the point of tears, beyond the pain threshold from the first second. Now it hurts without tears and only at the tip of the tongue. The pain starts around the 20th second. I’ve been using it from the start for the full minute. NO EXCUSES.
  • Maybe it’s my bias, or maybe cutting out all sweets, grains and nuts speeds up reactions – but my teeth seem a bit whiter, brighter.
  • Plaque has been eliminated with Dr Ellie’s protocol, without any dental intervention. Only tartar remains at the back on the molars, which now clearly bothers me because it stands out from the rest of the tooth structure, which is perfect and pleasant to the tongue. Without professional hygiene it probably won’t come off – 30 years take their toll.

Day 9:

I added oil pulling with a mix of essential oils: coriander, cedar, cinnamon and mint. I made the mixture myself and it tastes DELICIOUS. You just want to swallow it. I spit it out after 15 minutes. I use it once a day.

Day 10:

  • The juicer arrived, so I can finally start making vegetable juices to speed up regeneration. To my surprise, fresh celery juice is tasty. Previously, I tried making celery and vegetable smoothies in the Thermomix, but they were disgusting and I quickly stopped drinking them. Fresh vegetable juices are much tastier. You can immediately feel how they’re absorbed. Unfortunately, I noticed that juices, e.g. from pears or apples, freshly pressed, cause tooth pain after some time. So I won’t use them daily, maybe a bit longer to enjoy the juicer, and ultimately once a week as a form of dessert.
  • I have the impression that after oil pulling my teeth are more sensitive, and if that really continues, I’ll give it up, because that’s a very bad sign. Or I’ll just eat the whole batch I made, because it’s delicious x‑D
  • I bought both Dr Ellie Philips’ book “Mouth Care Comes Clean Breakthrough Strategies” and Gabriel Arruda’s “How I Reversed 5 Cavities in 3 Months” – there’s some interesting extra information in them and in my opinion Dr Ellie Philips is more substantive – after all, over 50 years she “cut her teeth” on being a dentist and saw long‑term effects. Especially in terms of daily cleaning and rinsing procedures. She claims, however, that cavities can be eliminated in 12–24 months (although in the book she wrote that with the right diet you can also see effects in a few months) and Gabriel Arruda did it in 3 months, so in terms of vitamin D3 supplementation, vegetable juices and diet he is right. So they complement each other perfectly. I’ll drop oil pulling, because LESS IS MORE. To counter my confirmation bias, I’ll quote Dr Ellie again:

On the other hand, if you have gum recession, remember to avoid toothpaste containing glycerin, salt, peroxide, coconut oil, or baking soda, as these can disrupt the healthy biofilm by dissolving its foundational proteins. Cavities are not genetic and are ENTIRELY PREVENTABLE with my method.

Dr Ellie Philips, “Mouth Care Comes Clean Breakthrough Strategies”

I regret that I didn’t know about Dr Ellie Philips’ tooth care protocol earlier – when my first permanent teeth started to decay. At least my children will have this knowledge at their fingertips.

Day 14: Hygiene treatment

  • There were moments in previous days when suddenly intense tooth pain appeared and then disappeared after a few minutes. In different places in the mouth.
  • Before the hygiene treatment I asked for photos. They looked at me like I was an alien, because photos had been taken 2 weeks earlier, so what could have happened? Well, something could! The hygiene treatment turned out to be unnecessary!

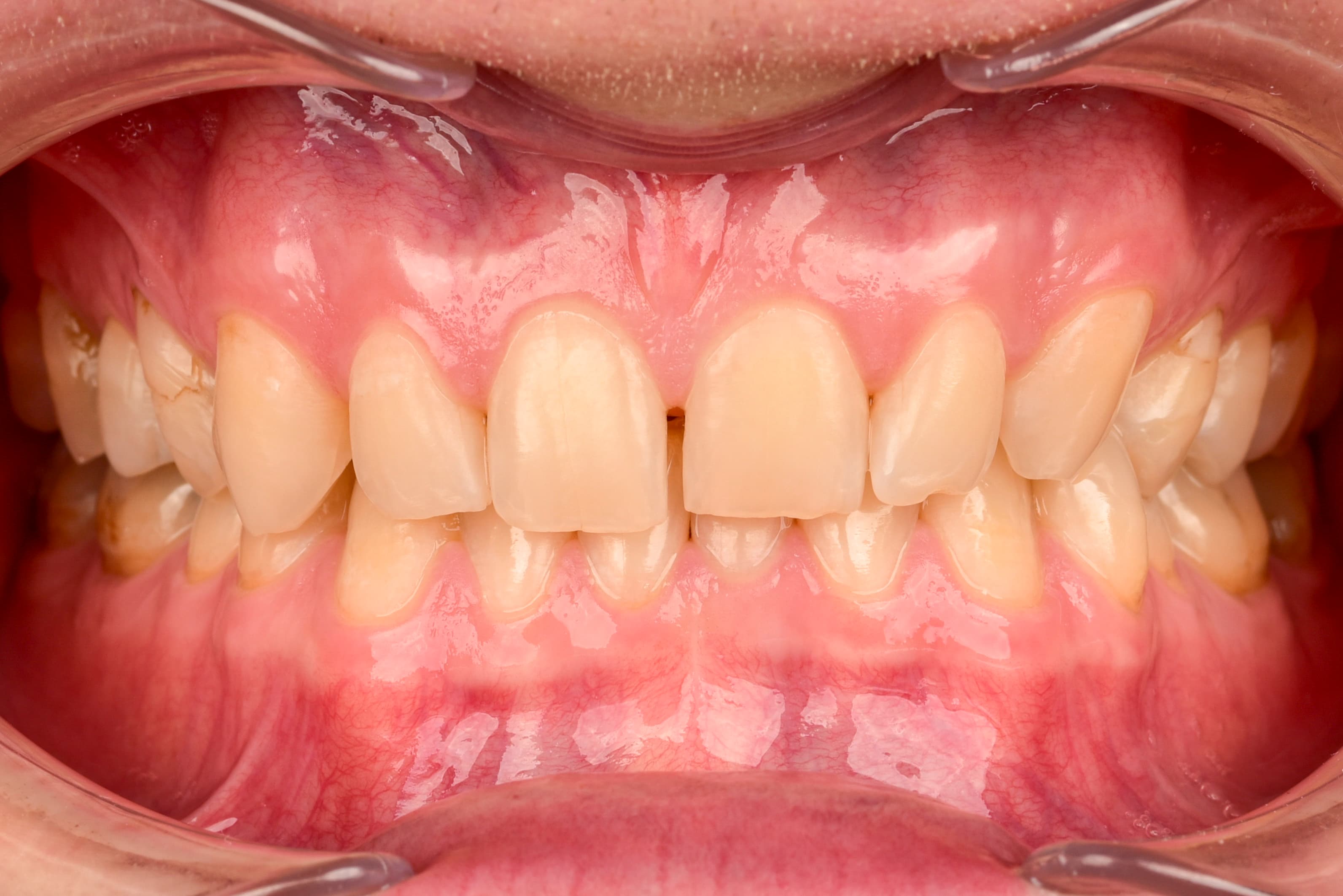
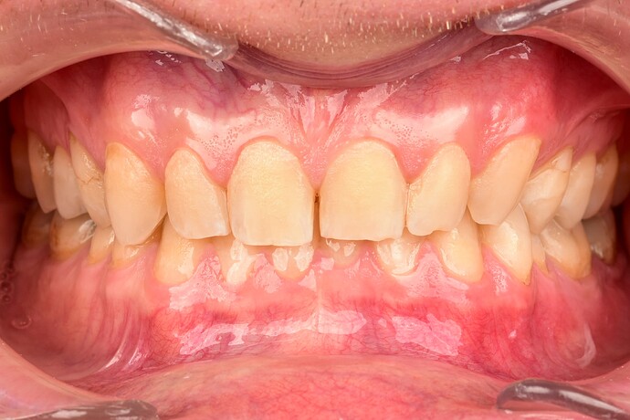
Day 0: before starting Dr Ellie Phillps’ procedure. Diagnosis: lots of plaque and tartar, gums bleeding on touch, urgent referral for dental hygiene. You can also see with the naked eye demineralization of the teeth (those whiter spots).

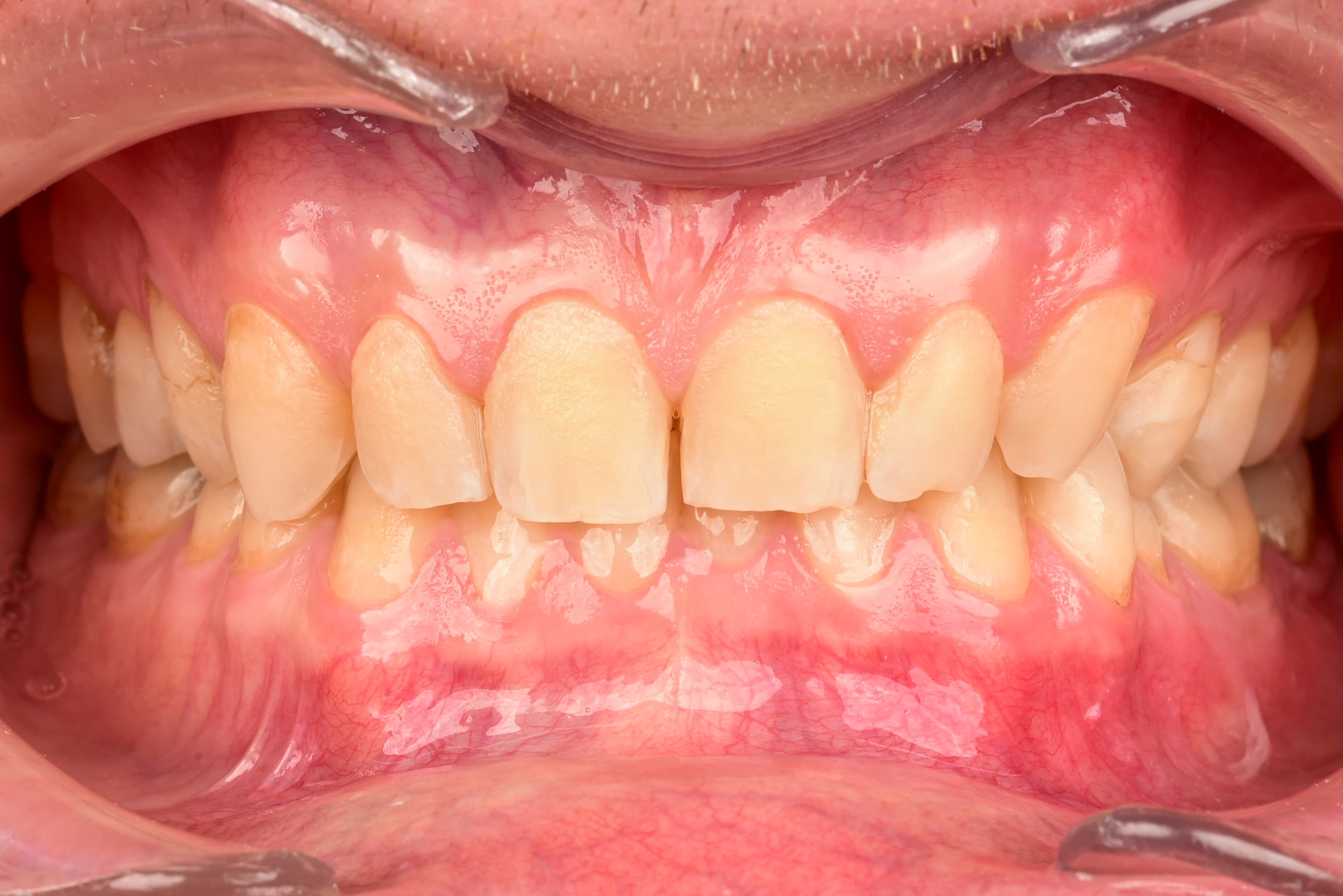
  • Meanwhile, 14 days after starting the method:

14 days after starting Dr Ellie Phillips’ method (including a few days without all the rinses). No hygiene treatment. Dental diagnosis: hygiene unnecessary. “You have a tendency not to form tartar.” This is not Photoshop, this is Dr Ellie Philips. Those ugly discolored lines in the upper canines are unfortunately fillings placed years ago, which have an uneven surface and even hygiene won’t remove them, you’d have to remove the filling and put in a new one… I don’t care, I’ll wait until they fall out. Demineralization of the teeth still occurs but somewhere at the back and you can’t see it at first glance.

  • But will this allow me to heal my teeth that were referred for root canal? Even Dr Ellie doubts it, but… the second week is passing and the tooth no longer hurts, not even when biting.
  • I basically forgot that I had anything done and any need for treatment. Until I did this hygiene + fluoride treatment for peace of mind. It hurt like hell at the gum line. The hygienist said that “you don’t have a tendency to tartar and for a first hygiene treatment in your life, she’s shocked because you didn’t need it”. Photos after hygiene don’t add anything, because they were taken after applying a layer of fluoride, which hides the appearance of the teeth.

Day 15

  • After fluoridation I didn’t eat or drink anything for 24 hours so everything would be well absorbed. I also didn’t use any toothpaste or rinses that day.

Day 16

  • At 11 a.m. I started a “white diet”, as the hygienist recommended for 3 days. Beet kvass has to wait ;). White diet in my version is cottage cheese, farmer’s cheese, coconut milk, cauliflower and apples. I also ate eggs. Avocado didn’t go down (unripe or what?), I tried fish and it also wasn’t great (trout). After that I drank celery juice and after a few hours I got an ultra rash/hives. I’ve never experienced anything like that, as if I had fallen naked from the neck down into the biggest nettles in the world. I didn’t know what was going on. I suppressed the itching by eating 3 heaping tablespoons of vitamin C at once. It didn’t even give me diarrhea. Overnight the red skin and hives disappeared and I looked normal again.

Day 17 – 12.04.2023

  • I discovered that I’m extremely allergic to fresh celery juice (even organic), which I had never drunk in such an amount (a full glass) before (I didn’t have a juicer). On the verge of anaphylactic shock. At first I wondered if it was because of the dairy, which I don’t normally eat, but by repeating the celery juice the second day in a row first thing in the morning, not only did I break out again (much faster this time), I even started coughing like with asthma. That’s the end of supporting tooth healing or anything else with celery juice.

This situation shows that everyone is different and you always have to adjust what you eat to your body’s capabilities.

Days 18–20

  • The 3rd week since I cut out grains and seeds from my diet is passing. I had a terrible craving for nuts. I decided that “nothing bad will happen this one time”. I ate a pack of pumpkin seeds, a pack of pistachios and a pack of hazelnuts. I know they contain phytic acid, which slows tooth regeneration, I know I’ll be healing my teeth longer because of this – but I felt I needed some elements from seeds.
  • I have the impression the next day that I wrongly trusted my intuition.

Day 21

  • I should have pushed through the crisis, because I feel weaker after those nuts and I got angular cheilitis at the corners of my mouth.
    Although this may also be due to Saturday’s party with plenty of red drink :wink: In any case, that’s the end of the
    “white” diet. I’m going back to the “for teeth” diet, i.e. more vegetable‑meat‑fruit based. Without grains and nuts.

after 2 years of using it I can say that Dr. Ellie Phillips’ protocol is the gentlest thing I’ve found for teeth.
Often the problem, however, is that these liquids run out, and it takes a month for new ones to arrive from across the ocean.

Even if you use it once a day or not with all the liquids, it at least allows you to keep the condition of your teeth from deteriorating. Unfortunately, I don’t follow the protocol every day, e.g. when travelling, on holidays, etc., and then the worsening of the condition of the teeth and the return of tartar is quite fast – within a week or two you can expect a visible deterioration and problems with toothaches and the formation of cavities. As quickly as the changes reverse, they reappear just as fast. All in all, it would be strange if it were otherwise.

What people don’t talk about with me is that the lifespan of a filling is about 5 years, and after that time it starts to crumble, lose its seal, microcracks appear, and once bacteria get in there, you won’t get rid of them without repairing the filling or drilling everything out again, widening the physical cavity and sealing everything up. That’s why it’s worth doing everything in your power not to start the spiral of drilling into permanent teeth.

Nonetheless, I recommend it, because I haven’t found anything as effective that, according to the hygienist herself, would eliminate the need for professional cleaning within 2 weeks.

@HowicuredAI are there any other effective ways in the books to treat cavities or to maintain teeth so they don’t decay?

From this forum and from the books I have access to, a few additional, sensible directions emerge beyond what you’re already doing with the Ellie + Arruda protocol. Below I’m collecting only those things that have some justification (research / authors’ experience), and are not pure “magic”.

At the end you have a list of the books this comes from.


1. Maintaining / reversing caries via diet and supplements

a) High but SAFE support with vitamins D + K2 + A

Sources:

  • “How I Reversed 5 Cavities in 3 Months – Gabriel Arruda”
  • “Cure Tooth Decay – Ramiel Nagel”

What the books say:

  • Arruda:

    • the key was raising 25(OH)D to the upper end of the normal range (approx. 60–80 ng/ml) and keeping it there for several months;
    • he used doses of about 7,000–10,000 IU daily, but emphasizes the need for blood tests and calcium monitoring;
    • he always combined D3 with K2 (MK‑7) and fat in a meal.
  • Nagel (“Cure Tooth Decay – Ramiel Nagel”):

    • strongly emphasizes the A–D–K2 trio as a “switch” for tooth mineralization;
    • suggests that without sufficient vitamin A (from egg yolks, butter, liver, or cod liver oil), D3 alone works less effectively.

Practical takeaway:
What you’re already doing with D3+K2 is strongly supported by these two books. From a safety perspective, the only things missing from your description are:

  • regular testing of 25(OH)D, calcium, phosphorus, creatinine;
  • making sure that with such high doses of D3 you don’t run short of vitamin A (whether from plants or from small amounts of animal products / cod liver oil).

b) Limiting phytic acid – but sensibly

Source:

  • “Cure Tooth Decay – Ramiel Nagel”

Nagel:

  • sees phytates (grains, nuts, seeds, legumes) as an important factor blocking absorption of calcium, magnesium, zinc, phosphorus;
  • doesn’t claim they must be cut out forever, but:
    • soaking / sprouting / fermenting (sourdough, pickling) significantly lowers phytates;
    • with active caries he recommends a period of maximum restriction of these products, and then a cautious return in soaked / fermented form.

This is consistent with what you’re already doing, only the book provides a “safety valve”: once the teeth have stabilized, you can return to nuts/grains, but in prepared form (soaking, sourdough).


c) Sugar from fruit vs. added sugar

Sources:

  • “How I Reversed 5 Cavities in 3 Months – Gabriel Arruda”
  • “Mouth Care Comes Clean – Ellie Phillips”

Arruda:

  • ate fruit, raisins, grapes, but:
    • these were whole fruits, not juices sipped all day;
    • he ate them as part of meals, not as snacks;
    • everything was set in a diet rich in vegetables, fats, and fat‑soluble vitamins.

Ellie:

  • looks at this from the perspective of how long the mouth stays acidic – the longer, the worse;
  • therefore she is against “sipping” juices, smoothies, coffee, tea throughout the day, regardless of whether the sugar is “natural”.

Common denominator:
If fruit – then:

  • in one or two time blocks,
  • not for sipping throughout the day,
  • finished with xylitol / an alkalizing rinse.

This is exactly what you’re already intuitively doing.


2. Local remineralization support (beyond Ellie’s protocol)

a) Remineralizing pastes / gels with calcium and phosphate

Sources:

  • “Mouth Care Comes Clean – Ellie Phillips”
  • studies cited by Arruda in “How I Reversed 5 Cavities in 3 Months”

In Ellie’s book the following theme recurs:

  • CPP‑ACP (casein phosphopeptide with calcium phosphate – e.g. MI Paste) – used topically at night on demineralized areas;
  • calcium phosphate in rinses / pastes as a supplement to saliva.

Arruda:

  • mentions products with hydroxyapatite (nano‑hydroxyapatite) as an alternative to fluoride – especially for sensitivity and early lesions.

These are things you can add locally to areas with white spots / early caries, without conflicting with Ellie’s protocol (as long as they don’t contain glycerin / SLS, which she dislikes with gum recession).


b) Hydroxyapatite instead of (or alongside) fluoride

Sources:

  • “How I Reversed 5 Cavities in 3 Months – Gabriel Arruda”
  • “Cure Tooth Decay – Ramiel Nagel” (more skeptical about fluoride, but positive about calcium‑phosphate mineralization)

Arruda:

  • cites studies in which nano‑hydroxyapatite:
    • reduces sensitivity,
    • improves enamel hardness,
    • early carious lesions can partially reverse.

Nagel:

  • is anti‑fluoride, but very pro‑mineralization (calcium, phosphorus, magnesium, vitamins A/D/K2).

If you want to go more “less is more” chemically, then:

  • a hydroxyapatite toothpaste / gel (without SLS, without glycerin in case of recession) can be an alternative for some fluoride uses, especially between visits.

c) Xylitol – but as a “program”

Source:

  • “Mouth Care Comes Clean – Ellie Phillips”

Ellie:

  • describes a program of 5–10 g of xylitol per day in divided doses (gums, lozenges, a teaspoon of powder), for at least 6 months;
  • the goal is a lasting change in the bacterial flora (drop in S. mutans);
  • emphasizes that consistency is more important than form (candies vs powder).

You’re already using xylitol, but the book suggests:

  • calculating your actual daily dose,
  • making sure you don’t go below 5 g/day for a longer period if the goal is microbiome change, not just a temporary pH increase.

3. What else do the books say about “maintenance” once you’ve handled the cavities?

a) Stable meal rhythm and “no‑food windows”

Sources:

  • “Mouth Care Comes Clean – Ellie Phillips”
  • “How I Reversed 5 Cavities in 3 Months – Gabriel Arruda”

Both:

  • emphasize that not snacking is almost as important as what you eat;
  • 3–4 clear “eating windows” per day, with only water in between (optionally xylitol after meals).

This is exactly what you’ve described (time blocks, no sipping).


b) Saliva as the main “medicine”

Source:

  • “Mouth Care Comes Clean – Ellie Phillips”

Ellie:

  • saliva is the main source of calcium, phosphate, and pH buffer;
  • anything that dries it out (alcohol, certain medications, chronic stress, mouth breathing) accelerates caries;
  • suggests:
    • hydration (water, not sweetened drinks),
    • working on nasal breathing,
    • avoiding alcohol‑based rinses with dryness (this is a potential downside of Listerine Original with long‑term use).

c) Maintaining results after the “intensive program”

Sources:

  • “How I Reversed 5 Cavities in 3 Months – Gabriel Arruda”
  • “Cure Tooth Decay – Ramiel Nagel”

Arruda:

  • after a 3‑month “hardcore” phase (high D3, juices, coconut oil, rinses) he switched to:
    • lower but steady doses of D3+K2,
    • a diet with less sugar,
    • periodic returns to vegetable juices.

Nagel:

  • sees this as a lifestyle change, not a cure:
    • less processed food,
    • regular sources of vitamins A/D/K2,
    • long‑term limitation of phytates (not necessarily to zero, but without the “standard” Western diet).

This fits well with your approach of “tooth diet” as a base, not just an intervention.


4. Books where I found this information

  1. “Mouth Care Comes Clean – Ellie Phillips”
    – rinse protocol, xylitol, role of saliva, criticism of baking soda, coconut oil, glycerin, emphasis on the balance of good/bad bacteria.

  2. “How I Reversed 5 Cavities in 3 Months – Gabriel Arruda” – Gabriel Arruda
    – high D3+K2, vegetable juices, coconut oil / oil pulling (rather as a temporary tool), sample meal plan, X‑ray results.

  3. “Cure Tooth Decay – Ramiel Nagel” – Ramiel Nagel
    – diet rich in vitamins A/D/K2, limiting phytates, emphasis on high‑quality animal products or appropriate substitutes, many clinical examples.

  4. Fragments on green smoothies and the role of leafy greens (e.g. “Green for Life – Victoria Boutenko”) – more general on mineralization and trace elements, not strictly about teeth, but supports the conclusion that greens (especially leaves, not roots) are among the best “carriers” of minerals.


Summary – what else you can consider if you want to go further

From what you describe, you already have:

  • Ellie’s protocol (rinses, xylitol, no snacking),
  • high D3+K2,
  • a diet limiting sugar, grains, nuts.

From the books, additional sensible building blocks are:

  1. Fine‑tune the A–D–K2 trio (lab monitoring, ensure vitamin A sources).
  2. Consider local remineralization support:
    • hydroxyapatite or CPP‑ACP toothpaste/gel at night on demineralized areas.
  3. Structure xylitol use:
    • 5–10 g daily in divided doses for at least 6 months.
  4. Long‑term:
    • maintain meal rhythm without snacking,
    • protect saliva (hydration, nasal breathing, cautious use of alcohol in rinses).

If you like, in the next post I can lay out a specific, “minimalist” maintenance plan for everyday use (what to do once you no longer want to live in “hardcore for teeth” mode).

Hi, I recently started using Dr. Ellie’s tooth‑brushing method, I got really excited about it and while shopping I came across substitutes for the American rinses available on Allegro (I couldn’t wait for them to arrive):

  1. **THE BREATH CO Mild Mint Mouthwash → instead of Closys
  2. Ziaja Active Mouthwash – Anti‑Caries Mouthwash → instead of ACT rinse. I hope they’re good substitutes :smiley:**

Hi,

this is some kind of substitute, the active substances are even similar, so it’s better than nothing. However, it’s worth buying the original, if only to compare the effect in the oral cavity and your subjective sensations.

It’s a pity we’re not in the USA, because there those rinses are really available in every pharmacy for a few bucks each. I suspect that if Dr. Ellie lived in Poland, she would also be experimenting with some alternatives that contain stabilized chlorine dioxide like Closys, or sodium fluoride like ACT. Listerine Mint (the version with alcohol) is easily available in every Rossmann. Crest anticavity is also relatively easy to get online.