Here we can discuss Dr. Ellie Phillips’ protocol. I’ve already been following it for the second year. Of course, I don’t use it rigorously twice a day, but even so, thanks to it the rate of degradation of my teeth has basically stopped. As a reminder, below is my original 2024 post from the old site about the protocol:
Can a tooth repair itself?
Most people are convinced (no one knows why) that once a tooth is damaged, injured, starts to hurt or a cavity appears, that’s it – it has to be drilled, filled, and if that doesn’t help, killed (root canal treatment), or pulled and replaced with an implant. I thought so for a very long time too, until I experienced for myself that it’s different. A tooth is alive and, just like a broken bone, under the right conditions it can regenerate and rebuild when you don’t interfere with it (and when you help it).
Already 6 years ago I proved on myself that RA (rheumatoid arthritis) is linked to problems and bacteria in the oral cavity, so I dug into the topic of why our teeth decay: the answer is simple and at the same time not simple: mainly because of sugar, but also because of an excess of phytic acid in the diet, which blocks the absorption of minerals needed for tooth regeneration and is ubiquitous, e.g. in all grains and nuts. Acidic pH also promotes the growth of bacteria that destroy teeth, such as Streptococcus mutans or Porphyromonas gingivalis. Therefore, in order not to have new health problems, it has long been known that it is enough not to eat sugar, grains and processed junk that cause acidic pH in our mouths.*
Simple? Simple! Practical? Not practical…
Hardly anyone in the civilized world can refrain from eating grains, grain products and processed (i.e. subjected to any thermal or chemical processing) food for a longer period. I myself, since I am fully healthy, nothing hurts and nothing ails me, because I cured myself naturally of rheumatoid arthritis, which I suffered from for many years – stopped stubbornly following the “Eat what wants to be eaten” diet, which I describe in the book “How I Cured the Incurable”, because it is a strictly therapeutic diet – for the time of illness, until the body recovers, extinguishes inflammation, regenerates and becomes healthy. This takes some time (counted in months), but once you are healthy, in my opinion you can rotate your diet in cycles, like changing seasons, and experiment with food, keeping in the back of your mind that “you are what you eat and… what your food ate”, but at the same time “everything is for people”.
Maintaining healthy teeth is therefore almost a miracle these days, because at some point most of us will snack on sugar, grains or processed food. And processed food is… junk food. And here comes a ray of hope in the form of Dr. Ellie Phillips, who claims she has discovered a repeatable way to heal teeth and be free from the dentist almost regardless of diet.
I watched all the videos on Dr. Ellie Phillips’ channel. I agree with 99% of what she says. I basically found only one mistake that she repeats and that can be pointed out, but more on that later.
As much as I am a fan of natural treatment methods, they are good when you eat natural food. When you eat artificial food, or you already have a burden of cavities and fillings, there is no chance to heal your teeth in everyday life without some support. And that support comes from Dr. Ellie in the form of her “Complete Mouth Care System”. I recommend watching this video as the most exhaustive on the subject:
In short, she recommends using specific products in a specific order:
I. Use xylitol after every meal. Ideally, use xylitol INSTEAD of sugar in food, because she discovered and confirmed in studies that xylitol destroys deposits, restores tooth shine and has only positive effects. An average person will not distinguish the taste of xylitol from sugar. Sorbitol, on the other hand, is harmful to teeth. Other sweeteners are too, because they cause acidic pH in the mouth.
II. Use specific oral cleaning procedures at bedtime and once during the day. The entire procedure has 7 steps and all of them are important to perform in this order:
-
Rinse your mouth with “Closys Ultra Sensitive” before brushing. Use half of what the manufacturer recommends. Use it ONLY for one minute. This is an agent that destroys bad bacteria and penetrates into cavities in the teeth. The main active substances here are stabilized chlorine dioxide and trisodium phosphate. Additionally, it comes with a peppermint essential oil, which you add to the solution as you wish. Chlorine dioxide and mint have a destructive effect on bad bacteria and reset the pH in your mouth so that the toothpaste in the next step works more effectively.
-
Use a springy, dense toothbrush with good bristles.
-
Toothpaste – only and exclusively the proven “Crest Cavity”. Others do not remineralize teeth as they should. This one has been tested over 50 years of use by Dr. Ellie on herself and her children and grandchildren. The main active ingredient doing the job here is sodium fluoride at a concentration of exactly 0.243%.
-
Start brushing by… massaging the gums from the inner side of the teeth. At the level of the bottom of the root, i.e. as low as possible. Where it hurts you the most. If you intend to floss your teeth, do it right after brushing, leaving the toothpaste on your teeth. Dr. Ellie is not a fan of flossing and suggests flossing only if food is stuck between your teeth and you can’t get it out otherwise.
-
Before use, wait 24 hours for the toothbrush to dry. That is, use 2 different toothbrushes for each time of day to be sure you are using a dry one. Keep them apart so that bacteria do not spread.
-
Rinse your mouth with “Listerine Cool Mint” or “Listerine Original”. The original is a bit stronger. Rinse as long as you can, even if only for a second. Listerine is associated with chemicals, but in this edition the main active ingredients are: eucalyptol (0.092%), menthol (0.042%), methyl salicylate (0.060%) and thymol (0.064%), the main inactive ingredients are water and alcohol.
-
Rinse with “Act Zero Alcohol Anti-Cavity” mouthwash in the Mint version. Buy such an Act that contains exactly 0.05% sodium fluoride. It’s best to rinse for a minute.
And yes, these rinses and the toothpaste have a lot of junk additives like dyes and other chemicals. Unfortunately. But Dr. Ellie tried others and did not find better substitutes. Moreover, these rinses create a catalyzing and strengthening effect on each other, so replacing even one of these elements has disastrous consequences.
DO NOT USE ANY OF THESE PRODUCTS ON THEIR OWN. ESPECIALLY MOUTHWASHES, BECAUSE YOU CAN HARM YOURSELF. THE EFFECT OF SYNERGY IS ACHIEVED HERE IN THE RIGHT ORDER AND THE INGREDIENTS OF THESE PRODUCTS INTERACT WITH EACH OTHER.
III. Use the procedure from point II preferably at bedtime and after breakfast.
And yes, both the toothpaste and the mouthwash contain that ominous element “FLUORINE”, but… it is in the form of “sodium fluoride”, which is not as harmful as fluorine in other forms, e.g. occurring in nature in India in tea, and after rinsing with Listerine, which leaves a slightly acidic reaction in the mouth, it brings a synergistic effect and strengthening of the teeth. She uses it herself, as do her children and grandchildren, so any concerns about its harmfulness at such low doses can rather be considered minimal. YOU ARE NOT SUPPOSED TO SWALLOW IT, IT IS ONLY TO WORK LOCALLY – and then it is not toxic.
Each product has been analyzed by her in terms of composition and do not use any substitutes if you do not know what you are doing and how the respective chemical compositions cross‑react with each other. Dr. Ellie does not earn money from promoting or selling these products.
IV. Another important thing according to Dr. Ellie is not to snack and sip all the time during the day
You should compress eating and drinking into appropriate eating windows. The point is that saliva begins to have the ideal content of minerals and nutrients for rebuilding and remineralizing teeth about 1 hour after the last bite and… sip of water. If we drink all the time, we wash away the saliva and its minerals, so the teeth do not rebuild. Ideally, for example, during work it is best not to eat or drink anything, and drink tea and coffee (yes, the doctor has such white teeth and she drinks coffee!) before and after work, not during it.
As I write these words, I’m sitting and… sipping jasmine tea, so this point is definitely the hardest. But my teeth are currently my priority, I want to get rid of all the fillings and rebuild their tissue, so after Easter 2024 I intend to start the procedure and techniques developed by the Doctor.
I have already bought all the ingredients, e.g. rinses in the USA + shipping to Poland, when they arrive, I’ll start ![]()
I personally came across the Doctor by clicking on this clickbait on YouTube, because receding gums are closely related to RA and should be repaired before you effectively cure this “incurable” disease. Previously I thought a dentist was needed for this:
The doctor describes that after proper gum massage and using her method and specific rinses and toothpastes – the gums will start to grow back on their own.
My commentary on all of Dr. Ellie Phillips’ videos. Just one “but”:
-
I agree that you definitely need to cut out sugar if you want to heal your teeth.
-
I agree that acidic pH destroys teeth and alkaline is better. My experience is that alkaline pH alone will not contribute to tooth regeneration. I did not get rid of my tartar despite having an alkaline oral pH of 8.0 for the last 2 years.
-
And now the “BUT”: I do not agree with Dr. Ellie Phillips that citrus fruits harm teeth, because there is no sensible evidence or scientific research for this. This is a myth repeated by dentists based on a study performed on DEAD teeth, where a dead tooth was kept in grapefruit juice for 20 weeks and it was observed that a DEAD TOOTH, WITHOUT SALIVA, KEPT FOR 20 WEEKS WITHOUT A BREAK DISSOLVES; live teeth in the mouth were not tested… Do I need to add how a dead tooth in a glass of juice differs from a live one in the mouth? I provided sources of research on this topic and refuting the harmfulness of grapefruits on teeth in my book. You can personally test that when you touch, for example, an orange with litmus paper, it has an acidic pH below 5.0, whereas after putting the orange in your mouth, chewing it and testing the pH of your saliva – it immediately becomes ALKALINE above 8. Both the orange and vitamin C itself cause ALKALINE reactions in our body, which you can check yourself, you don’t need to rely on any authority or YouTuber. Since according to the Doctor alkaline pH is good for teeth, how can citrus fruits harm them? This is the biggest logical error and inconsistency I found in all of Dr. Ellie Phillips’ videos, so apart from that I recommend you watch them yourself, because I stand by what she promotes.
-
I don’t know about the harmfulness of using clove oil – I have used it a few times in recent years and so far my teeth are alive. However, Dr. Ellie says that after using clove oil, even after 7 years a tooth can die. That doesn’t sound good and it’s better to replace this oil with another.
-
I have personally found that fruit is the healthiest product you can eat. It does not require any processing, it wants to be eaten, nothing more, nothing less. What about the sugar in fruit? It is broken down by enzymes present in fresh, living fruit, so it is not as dangerous as is mindlessly repeated. This is confirmed by the fact that fresh fruit has a low glycemic index. Additionally, fruit has several (or maybe several dozen – we don’t fully know, because the level of complexity of fruit exceeds the analytical capabilities we have!) thousand other substances that occur in it and interact, creating LIFE – the most complex process in the world. Fruit alone, however, will not whiten teeth or remove existing tartar. They are neutral for teeth. Cooked fruit or pasteurized juice – that’s worse. Then in fact only sugar remains without enzymes and that is like sugar water. Nothing healthy.
Summary:
- Dr. Ellie Phillips’ method seems logical and reasonable and in a week (when all the above‑mentioned rinses arrive) I will start testing it on myself. Over my lifetime, even before I paid attention to what I eat, I got too many fillings that keep falling out, generating visits to dentists and draining my wallet, so I’ve had enough. I don’t know if you know, but the lifespan of the best filling (excluding amalgam ones for obvious reasons) is only 6 years… After this period, even a super filling crumbles and food gets under it through tiny gaps. Before you realize it, degradation and destruction of the tooth from underneath begins. I have suffered through this too many times. I’ve had enough.
- I took a panoramic X‑ray and a bit later a CT scan of my oral cavity, so the observed progress after an appropriate time will be very accurately measurable
- I will definitely not give up fruit in my diet. I will try to give up sugar for 1–2 years… Especially since it is easy to replace it with xylitol if you prepare food yourself. Will it work for me? I will do my best to make it work. To get rid of fillings and save my teeth – I think it’s worth it.
EDIT: today is 03/04/2023 and after a week since I started using an incomplete procedure (without Closys) I have my first observations:
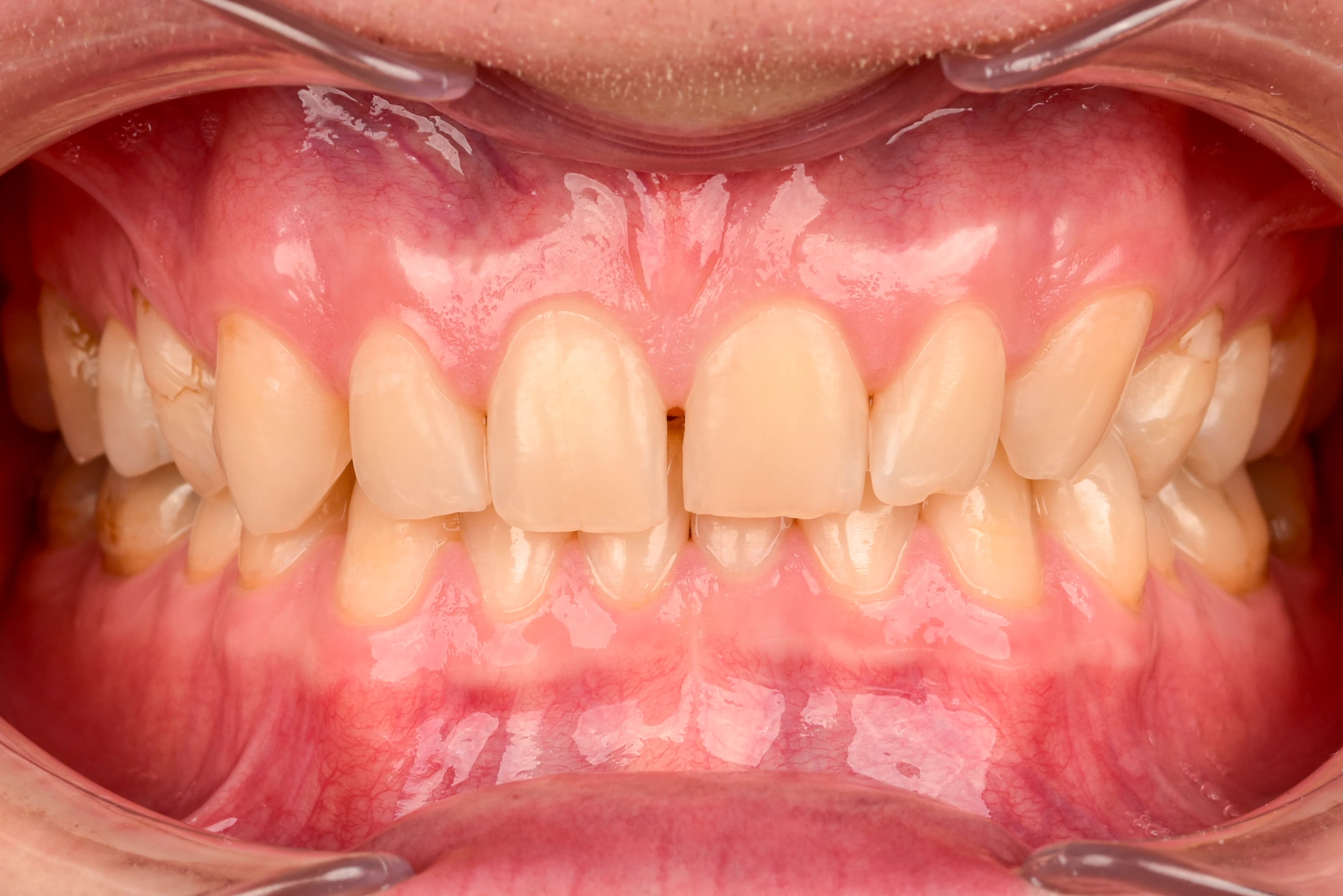
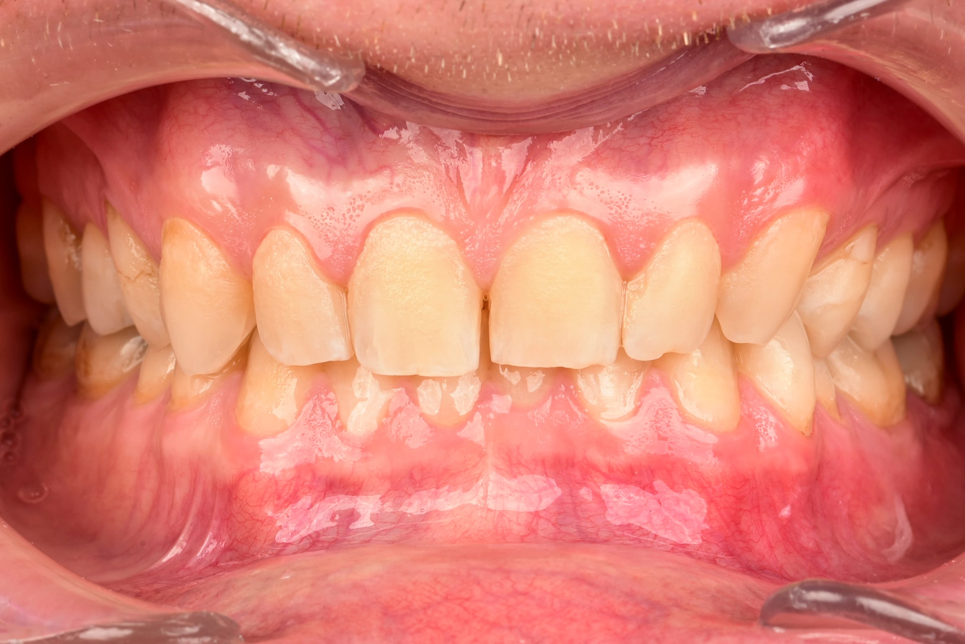
- My gums have become more pink and nicer.
- After the 6th day, my teeth really did become smoother and more shiny than I ever remember in my life. There was no such effect for the first 3–5 days.
- Listerine Original burns the mouth to the point of pain (the main ingredients there are 26.7% alcohol, menthol, eucalyptus and thymol), but after 7 days it only burns at the tip of the tongue. IMPORTANT! I was making a mistake and rinsing my mouth with water after brushing my teeth, but the point is to rinse immediately only with Listerine. Then the burning effect is also smaller and I think it works better.
- For the first few days I used the red Act version, i.e. with cinnamon, and it is definitely less tasty and I think it doesn’t fit the whole process. Only later did the mint – green version reach me and it is tastier and I suffer less after it.
- I ate several teaspoons of xylitol a day. I did not manage to get the “cleansing” effect that some people are afraid of.
- I’m suffering, because – there is one quite big “BUT” to this method. After all, there are no perfect methods:
- These mouthwashes are packed with chemicals, dyes (which are not allowed in Europe) and they clearly get into the body through damaged gums/teeth, because every morning I wake up with some pain, as if RA had returned. Places that have never hurt me before, like the back of my neck, hurt and this pain lasts 1–2 days. I understand that this is an adaptation stage and it may be because bacteria are dying, etc., but it seriously exhausts me, so I will probably not continue using this if the problem does not go away.
- Teeth that are damaged and more diseased will hurt during this treatment, especially at night for the first few days.
- You have to completely cut out sugar and all sweets (except those with xylitol), which was not easy at Easter
But I managed.
So what if I am allergic / sensitive to xylitol or other ingredients in the mouthwashes / toothpaste from the above Dr. Ellie Phillips procedure?
All is not lost! ![]()
As it turns out, there are still other ways, using mixtures of essential oils and coconut oil, which you can prepare at home according to the instructions given below.
For example, this program is a certain alternative that I will write about in a separate post, a very interesting video, worth recommending, about how a man repaired his 6 cavities in 3 months without a dentist using a natural diet and methods. During this time, he ate a lot of vegetables and fruit, and even raisins.
As it turns out, I will have to correct the first chapter of my book “How I Cured the INCURABLE”, because I wrote there that it is best to go and repair receding gums and cavities to an experienced dentist. Meanwhile, you learn all your life and we must once again bow to our bodies – they can heal and repair even teeth, only in this case you have to help them with supplementation and diet. A healthy diet alone is not enough, see the video above.
So to repair your teeth, follow the advice of Dr. Ellie Phillips or Gabriel Arruda (the author of the video above), and preferably combine this advice into one complete protocol.
The best you can take from these two different processes I have described in more detail here: https://jakwyleczylem.pl/disease/bol-zeba-cofajace-sie-dziasla/polaczony-protokol:-kompletny-system-pielegnacji-jamy-ustnej-dr-ellie-philips-+-naturalne-techniki-wg-gabe’a-arruda
Here are 15 signs that may indicate an improvement in tooth health:
Reduced pain – If a tooth starts to hurt less or the discomfort completely disappears, this may be a sign of regeneration and reduced inflammation.
Reduced sensitivity – A less intense reaction of the teeth to hot, cold, sweet or sour products indicates an improvement in the condition of the enamel and dentin.
No new cavities – If no new cavities appear over a longer period of time, this may indicate stabilization of oral health and improved mineralization.
Whiter teeth – Natural whitening of teeth without the use of chemical agents may indicate an improvement in enamel health and maintenance of proper pH in the mouth.
Smooth enamel surface – Reduced roughness or stains on the enamel suggests that remineralization is starting to take effect.
Less plaque and tartar – If plaque and tartar appear less frequently or in smaller amounts, this may be evidence of improved overall oral hygiene and an appropriate pH level.
Healthier gums – The disappearance of bleeding, swelling or redness of the gums is a sign that inflammation is decreasing and the oral microflora is returning to balance.
Reduced amount of dental plaque – Slower accumulation of dental plaque means better cleaning of the teeth and a beneficial change in the oral environment.
Improved taste in the mouth – The absence of a metallic taste or other unpleasant sensations may indicate stabilization of the bacterial flora in the mouth.
Reduced bad breath – Better breath is a sign that the bacteria causing caries and other dental problems are in retreat.
Increased resistance to staining – If teeth become less prone to staining from coffee, tea or other coloring products, this is a sign of stronger enamel.
No cracks and chips – A reduction in the number of cracks or chips on the teeth may indicate that the enamel is becoming more resistant and regenerated.
Healthier gum color – A light pink color of the gums is a sign of good blood supply and lack of inflammation.
Reduced visibility of demineralization spots – If white, matte spots on the enamel begin to disappear, this may indicate remineralization of the teeth.
Longer periods between dental visits – Less frequent problems requiring a dentist’s intervention may indicate an improvement in overall tooth health and the effectiveness of the care methods used.





